揭秘:防止组织自发荧光“轻骑兵”——Vector True VIEW™ Kit快速获得高质量图片
在免疫组化检测过程中,许多样本组织会产生可通过各种波长滤光片的组织内源性自发荧光,干扰抗体标记的目的蛋白荧光的观察,甚至导致实验失败。为了解决免疫组化实验中的自发荧光,VectorLabs公司专门开发了一款Vector® True VIEW™ Autofluorescence Quenching Kit试剂盒,该产品旨在去除组织切片中由于醛固定、红细胞以及胶原蛋白/弹性蛋白结构造成的自发荧光。该试剂使用方便,无需稀释操作,为即用型试剂。 该试剂盒中含有防自发荧光效果excellent的VECTASHIELD Vibrance Antifade Mounting Media 封片剂(含或不含DAPI两种)。客户无需单独购买封片剂,经济、实用。
注意:该试剂盒对脂褐素造成的组织自发荧光无效。
● 试剂盒组成:
a. Vector®TrueVIEW™ Reagent A 5ml b. Vector®TrueVIEW™ Reagent B 5ml c. Vector®TrueVIEW™ Reagent C 5ml d. VECTASHIELD Vibrance Antifade Mounting Media 2ml e. VECTASHIELD Vibrance Antifade Mounting Media with DAPI 2ml
其中,货号SP-8400包含a,b,c,d四个组分;货号SP-8500包含a,b,c,e四个组分
● 产品使用方法:
|
将ReagentA、B、C以1:1:1的比例混合。(注意混合顺序,先将A和B以1:1比例混合10s,再加入C,混匀10s) | |
|
将混好后的TrueView试剂滴加到组织样本切片上,将样本完全覆盖,孵育2-5min | |
|
使用PBS缓冲液洗片5次,除去多余缓冲液,VECTASHIELD Vibrance Media封片后观察 | |
● 产品特征
A 显著降低背景染色并保留特异性抗原染色; B 提高信噪比; C 产品稳定,储存在滴瓶中,使用方便; D 操作简单,快速;整个染色过程仅需2-5min; E 为使用者提供清晰、明确、真实的染色结果; F 适用于多种荧光染料的自发荧光去除,包括Alexa488,Alexa 594,DyLight 488,DyLight 594,FITC,Cyanine 5和GFP;
G SP-8500试剂盒中的封片剂中DAPI浓度较高,可对细胞核进行清晰的染色。
● 产品对自发荧光淬灭效果:
| ◆ 右图为经Vector®TrueVIEW™kit处理后,人肾脏组织切片中自发荧光淬灭的百分比与处理时间之间的关系。 ◆ Note:2分钟内即可达到最大淬灭效果。 | |
● 产品应用举例:
> 案例一
| 未经任何处理 | 使用Vector®TrueVIEW™处理 |
![]() |
![]() |
| ◆ 上图为人脾脏组织染色结果:使用VectaFluor TM Duet试剂盒(DK-8818)检测的mouse anti-CD20(red)和rabbit anti-Ki67(green)对人脾组织切片的染色。 ◆ 左图为未经任何处理的染色结果, ◆ 右图为使用TrueVIEW™Autofluorescence Quenching试剂盒染色结果。于未经处理的染色结果相比,经TrueVIEW™Autofluorescence Quenching试剂盒处理后,自发荧光显著减少。 | |
> 案例二
|
◆ A-D图为人肾脏切片(石蜡切片)染色结果,实验中使用anti-AE1 /AE3抗体对角蛋白进行染色(绿色)。◆ A图未经处理, ◆ B-D图经TrueVIEW™Quencher Kit处理。自发荧光明显减弱。延长曝光时间,阳性信号强度也随之增强。 | |
|
![]() |
![]() |
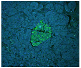
> 案例三
| 未经任何处理 | 使用TrueVIEW Treatment Mounted with Vibrance + 3x DAPI处理 |
|
|
![]() |
| ◆ 上图为人胰腺组织染色结果:绿色为insulin的染色。 ◆ 左图为未经任何处理的染色结果, ◆ 右图为使用TrueVIEW Treatment Mounted with Vibrance + 3x DAPI(SP-8500)试剂盒染色结果。与未经处理的染色结果相比,经该试剂盒处理后,自发荧光显著减少,核染色显著增强。 |
|
> 案例四
| 未经处理(内源性自发荧光) | 经TrueVIEW™Quencher Kit处理 |
![]() |
![]() |
| Company A | Company B | Company C |
![]() |
![]() |
![]() |
| Copper Sulfate Solution | Sodium Borohydride | Sudan Black B |
![]() |
![]() |
● 产品订购信息 Vector® True VIEW™ Autofluorescence Quenching Kit
| 产品 | 货号 | 规格 | 染色切片数 |
| Vector® True VIEW™ Autofluorescence Quenching Kit |
SP-8400 | 15ml | 100-150 |
| Vector® True VIEW™ Autofluorescence Quenching Kit |
SP-8500 | 15ml | 100-150 |
| VECTOR TrueVIEW Autofluorescence Quenching Kit (3ml) |
SP-8403 | 3ml | ~30 |
| VECTASHIELD® HardSet™ Antifade Mounting Medium |
H-1400 | 10ml | 100-150 |
| VECTASHIELD® HardSet™ with DPI Antifade Mounting Medium |
H-1500 | 10ml | 100-150 |
详情请咨询 Vectorlabs 中国代理- 上海金畔生物科技















































